INTEGRATED

噛み合わせ(総合治療)

咬み合わせ(総合治療)治療例

実際の治療過程を、カルテよりご紹介いたします。

下記事例は、当院で行ったものであり、メーカーのカタログ及びパンフレットを活用したものではありません。

Case1

正面

Before

Before

After

After

上歯

Before

Before

After

After

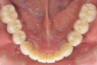
下歯

Before

Before

After

After

Case2

正面

Before

Before

After

After

上歯

Before

Before

After

After

下歯

Before

Before

After

After

咬み合わせの治療は的確な診断と、高度な治療が必要となります。

時には、インプラントや矯正治療が必要なこともありますが、美しく健康に咬めるようにいたします。

pagetop